Geheimratsecken bei Frauen
Haarausfall stellt für die meisten Betroffenen ein kosmetisches Problem dar und kratzt am Selbstbewusstsein, vor allem, wenn er bei Frauen…
Haarausfall stellt für die meisten Betroffenen ein kosmetisches Problem dar und kratzt am Selbstbewusstsein, vor allem, wenn er bei Frauen…
Es juckt, spannt und zu allem Überfluss tauchen auch nach dem Duschen immer wieder lästige Schuppen im Haar auf? All…
Trockene und empfindliche Kopfhaut stellt viele Menschen vor eine Herausforderung, denn sie geht meist mit Schuppen, Juckreiz und Spannungsgefühl oder…
Was im ersten Moment etwas seltsam klingt, einfach ein Loch in einen Schädel zu bohren, ist tatsächlich eine der ältesten…
Kopfjucken ist unangenehm und meist Ausdruck von Hautirritationen, welche durch Krankheiten, psychische Belastung oder kosmetisch-mechanische Reizungen hervorgerufen werden. Oft sind…
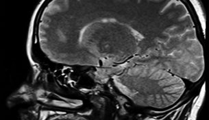
Es gibt eine Vielzahl an Erkrankungen, die eine Operation am Kopf notwendig machen. Gehirntumore oder Aussackungen von Hirnarterien (Aneurysmen) erfordern…
Das sogenannte Schleudertrauma gehört zu den häufigsten Komplikationen nach Unfällen im allgemeinen bzw. Autounfällen im besonderen. Es bezeichnet eine Kombination…
Insgesamt unterscheidet die Medizin mehr als 150 verschiedene Kopfschmerzarten. Die Migräne gehört mit zu den häufigsten. Frauen sind davon fast…
Jeder kennt das Thema: Man schaut auf seine Haarbürste und erschrickt, weil so viele Haare darin hängen. Doch wie viel…